もしあなたが悩んでいるなら、
この出会いがあなたの人生を変える キッカケになるでしょう。
私たちの約束
あなたは、歯がキレイになれれば、今よりも、笑顔で毎日を楽しめますか?
私たちの使命は、短期集中治療を通じて、笑顔にみちあふれた毎日を楽しんで頂くことです。
さらに、「短期間・少回数」「痛みを感じさせない」「1回目の治療で口元をキレイに」をモットーに、日本一痛くない歯医者を目指しています。
私たちは、ボロボロの虫歯の治療を得意とする歯医者です。
ボロボロの歯で悩んでいる人を全力で助け、
「大宮アルティマ歯科に出会えてよかった!」「歯医者への意識が変わりました!」と喜んで頂くことが、何よりの喜びです。
ほとんどの方にとって、ボロボロの虫歯治療は、未経験であり未知のことがたくさんあることでしょう。
どんな歯の状態であっても関係ありません。
もちろん、痛みや腫れがある場合は、即日応急処置を行います。
当院では、点滴を使って、眠っている間に治療することも可能です。
まずは、このサイトを最後までお読みください。(時間がない方は、ブックマークしておいてください)
最後までお読みいただければ、今すぐどのような治療ができるのかがわかり、あなたにとって、最適な治療方法がおわかりいただけるでしょう。
その上で、もし私たちに相談されたいという場合は、遠慮なくLINEやお電話(無料)でご相談ください。なお、無理な勧誘は一切ありませんので、ご安心ください。
あなたを歯のストレスから解放することをお約束します。
院長 石井宏昌

- 小さい頃、歯医者さんに怒られ怖くなった。
- あまりの痛さに失神してしまった。
- 涙が出るほど痛かった。
- 歯医者に行く時間がない。
- 忙しくて、定期的に歯医者に行けない。
- 平日に数ヶ月以上も通い続けるのは厳しい。
などという理由で、痛みがないからと言って、あなたは、虫歯を放置してしまってはいないですか。
もし、歯医者に行かなくて、虫歯をそのまま放置してしまうと、歯はさらに悪化してしまいます。
気がつくと、歯がボロボロになってしまい、何本も虫歯になってしまっているなんてことにもなりかねません。
こうなってしまうと大変です。
歯医者さんに見せると怒られてしまうのではないだろうか、と心配になり、余計に行けなくなってしまうかもしれません。
こうして、歯医者に行けない→虫歯を放置→虫歯が悪化という、悪循環のスパイラルに入ってしまいます。
中には、10年近く歯医者に行かないままになってしまい、歯がボロボロになってしまったという方もいることでしょう。
この状態までくると、せっかく歯医者さんに行っても、入れ歯しか選択肢がないと言われたり、処置が遅すぎると口腔外科での入院治療という場合もあります。
さらに放置していると、虫歯の菌が死んだ神経の中で拡散し、顎の骨や全身にまで広がり激痛を引き起こすことになります。
こんなことにならないためにも、しっかりとした治療をしなければいけません。
その意味で、当サイトにたどり着かれたのは、まずは大きな前進をされたことになります。
実は、ボロボロの歯の悩みを解決するのは、簡単です。
近所の親切そうな歯医者に行って、治療をしてもらえばいいのです。
つまり、インターネットなどで評判などを調べてここは、と思う歯医者に行けばいいだけです。
行けばいいって、簡単に言うけどさ、、、
実際、そんなことはわかっていたかもしれません。
すでに、歯医者に行ってはみたものの、あまりの痛さで治療途中に逃げ出してしまったという方もいるかもしれません。
そうは言っても、虫歯は自然には治りません。
虫歯は、治療しないとますます悪化するだけです。
もし、今痛くても、まだ一番痛くない状態であって、これからどんどん悪化し続け、常時痛くて何もできなくなる可能性もあります。
最悪、若くして自分の歯がなくなり総入れ歯に、なんてことにもなりかねません。
でも、どうしても行けないんだという方のために、私から魔法のフレーズをお伝えしましょう。
恥ずかしいので、ここだけの話ですが―
私は、健康診断の採血が怖くて、前日の夜、毎回緊張して寝れないくらい、極度の怖がりなのです。
だからこそ、歯医者が嫌だという方の気持ちが、痛いほど、よくわかります。
そんな私が、学生時代、初診の先生に、必ず伝えていたのが―
「私は、歯医者が嫌いで、怖がりで痛がりだから、不安なんです」という言葉です。
きちんと対応してくれる先生なら、それをカルテにビシッと目立つように記載してくれるはずです。
また、
「ここは、口コミの評判がいいところだったので、来ました」
この何気ない一言も実は効果的です。
歯医者さん側の立場からすると、口コミで評判が良かったと言われると、やはり、自然と働くものです。
でも、今、
勇気をふりしぼり、がんばって一歩を踏み出そうとしている、そんなあなたが望むのは、たんに虫歯が治りさえすればいい、というだけではないでしょう。
保険治療の場合、虫歯などが銀歯に変わるだけで、見た目までは大きく変わりません。
もし、前歯に銀歯を入れると、治療前よりも、目立ってしまうかもしれません。
でも、保険外の歯(セラミック)を選択すると、自然の歯と同じで、白く、きれいな歯になります。
とりわけ、前歯については、保険外の歯を入れることで、人前で口元を気にせずに笑顔になれるので、強くおすすめします。
また、銀歯は、数年たつと、金属が体内に流出し、身体に悪影響があり、ひどい場合には、金属アレルギーにもなってしまいます。
歯医者さんって、予約しているのに、待たされたあげく、ちょこちょこっと15分程度治療して、また次回の繰り返しで、、、1本の治療に3か月。
さらに、3本、4本ともなると、完治させるのに1年以上になることも。。。
治療期間が、1年近くなると、通う回数も、20回以上にもなります。
気の遠くなるような時間と回数ですよね。
そう聞くと、ますます歯医者さんに行く足が遠のきそうです。
もっと早く治療してくれ!と叫びたくなる人もいるかもしれません。
でも、保険診療には、厳格な法律があるために、短期的に集中した治療ができないのです。
というのも、保険診療の場合、厚生労働省の監督の下、1月以内の診療点数の上限があり、それ以内に抑えるように治療しなければなりません。
そのため、当然のように、治療が長期化します。
歯の悩みから今すぐに解放されたいと思っても、今すぐには保険治療では治らないのです。
複数の虫歯を治すには、1年以上がかかります
そうは言っても、定期的に歯医者に行けないという方もいます。
私たちは、保険診療の限界にとらわれず、短期集中での治療を目指し、短期間かつ少ない回数で治療を完了させることを目指しています。
もし、忍耐力があり、時間的にも余裕があり、見た目や長期的な健康も気にしないのであれば、保険治療が最適だと思います。
でも、あなたが本当に望むのは、
すべての虫歯を短期集中して同時に治療することだけでなく、自然な歯の状態で口元全体をきれいに治療することで、人目を気にせずに笑顔になれることですよね。
そして何より、
あなたが本気なら、目指すのはもっと先のはず。
ズバリ、今すぐに、すべての歯の悩みから解放されることでしょう

そこで、誕生したのが、
ボロボロの歯の状態を1回目の治療で、歯の痛みや腫れだけでなく、歯の大きさ、色、形、歯並びまでをすべてきれいにし、最短2回で自然な状態にする”カスタムセラミック法”という治療です。
|
|
|
|---|---|
|
どんなボロボロの歯にも対応 私たちは、ボロボロの歯の方の治療を得意にしているために、通常の虫歯ではない、何年も放置されたどんなボロボロの歯でも、対応することができます。 |
![]() |
|
|
|
|---|---|
|
1回目の治療で痛みも見た目がきれいに 私たちは、1回目の集中治療によりすべての虫歯を治療した後で、白いきれいな仮歯(プラスチック製)をかぶせるので、初回来院時に、痛みも見た目もきれいな口元になります。 |
![]() |
|
|
|
|---|---|
|
時間がない方の向けの短期治療 2回目に、前回かぶせた仮歯をセラミックの歯に取り替えて、自然な歯の状態になります。最短2回で、治療完了となります。 |
![]() |
※上記の〇、×は、歯医者の判断で変更できるかどうか、です。
なぜ、大宮アルティマ歯科に相談が殺到するのか?
|
|
|
|---|---|
|
あなたの理想を追球した口元のトータル治療 私たちは、初回に60分のカウンセリングの場を設けて、あなたの理想とする口元の状態を確認し、治療計画にご納得して頂いた上で、治療を開始します。※痛みや腫れがある方で、お申込みの場合は、カウンセリング当日に応急処置を行います。 |
![]() |
|
|
|
|---|---|
|
チクッの痛みも感じさせない工夫 私たちは、治療中の痛みはもちろんのこと、麻酔の針を刺す瞬間の痛みや麻酔を入れている間のわずかな痛みまでも、徹底的に取り除くことに最大限の配応を行っています。そのため私たちは、次の4段階麻酔法を採用しています。
麻酔シールをはることで、麻酔注射を刺すところの皮膚の感覚をなくします。
麻酔の針の細さを通常の歯科医院の針の太さ(0.4ミリ)ではなく、鍼灸院の針の細さと同じもの(髪の毛くらいの細さの0.28ミリ)を利用することで麻酔針の挿入時の嫌な感覚も感じなくなります。さらに、歯科専用の電動麻酔注射器を利用することで、注射の痛みの主要因である麻酔の注入スピードによる余計な圧力を和らげ、ゆっくりと痛くないように麻酔を注入できます。
一番痛くないところ(頬と歯茎の境目)に注射し、麻酔注射の痛みを徹底的に取り除きます。
ここまで来て、初めて、麻酔の注射を患部に必要な分量を注入していきます。なお、治療中に万が一痛みがある場合には、即座に治療を中断します。また、定期的にうがい休憩の時間を設けて、精神的にも疲労がたまらない治療を目指しています。 それでも怖い!という歯科恐怖症の方へ
|
|
|
|
|---|---|
|
全額返金保証付き 治療を受けてみて、途中で、「自分には無理そう」「思っていたのと違った」と感じたら、お申し込みから30日以内であれば、どんな理由があろうとなかろうと、治療費を全額返金します。新しい一歩を踏み出す時には不安がつきもの。
|
|
その理由は、
私たちが、なかなか治療に行けない方のために、治療期間や治療回数が最短になるように治療計画を組むからだけではありません。
私たちが、歯の寿命という観点から、できる限り歯を抜かずに現存の歯を生かしていくという、見た目だけでなく健康面にまで配慮した治療をしているからだけでもありません。
私たちが、治療が必要な歯を全部同時進行で治療していくという、スピーディーな対応はもちろんですが、それだけでもないのです。
私たちが、支払方法に関して、現金一括支払いだけでなく、少しでも多くの方の人生を変えたいという思いで、分割払いとして、院内分割、クレジットカード分割、ローン分割など様々な支払い方法に対応しているからだけでもないのです。
あなたが歯並びのことで悩んでいて、どこに相談しようか、迷っているならまずは私たちに相談するべきだと主張させていただく本当の理由は・・・
私たちが、最新のCT機器を用いることで、mm単位で神経との距離を把握でき、歯の神経を出来るだけ残す治療を心がけているからです。
さらに、CTに加えて、セファロや光学3Dスキャナー等の最新機器を組み合わせることで、歯を削る量をmm単位で調整することができ、削る量を最小限におさえて、痛みや見た目だけでなく、数十年先までの歯の健康、寿命までも考えた"歯に優しい虫歯治療"を追求しているからです。
その結果として、たくさんの方から大宮アルティマ歯科に高い評価を頂けていると自負しています。
人によって、歯の状況や歯並び、噛み合わせなどが大きく異なるため、全く同一のケースというものはありません。
だからこそ、歯の治療にあたっては、きちんとその治療方法があなたにとって、適切なのかを判断してください。
普通ならここまでは言いません。
でも、歯医者に行く時間がなく、放置してしまった虫歯の治療は、初めの対応を一歩間違えてしまうと総入れ歯になってしまうなど、今後の人生に大きく影響してしまうのも事実です。
あなたが本当に望むのは、一刻も早く、歯の悩みや不安から解放され、将来のストレスもなく、今すぐに理想的な歯の状態を手に入れることではないでしょうか。
だからこそ、0.1mm単位まで追求し、歯の神経を出来るだけ残す努力をした上で、治療中の痛みや歯を削る量を最小限におさえ、治療の後の歯の状態まで考えている、本当の専門家の私たちに、ご相談して頂きたいと思います。
それでは、大変おまたせしました。
実際に私たちに相談する方法をお伝えさせていただきます。
初回のご相談はLINE・お電話の2通りがあります。
どちらか最適な方をお選びください。
|
|
一人で悩んでいたら時間がもったいない!
まずは、無料院長相談を利用ください
ご連絡いただくとこのような流れになります。
実際のやり取りをイメージしてみてください。


このような流れで展開していきます。
安心してご連絡ください
実際に「どれくらいの期間とお金で、どのようになるのか」が明らかに!
あなたの人生を変えるカウンセリング当日の流れ
※無料だからといって、出し惜しみをするつもりは全くありません。 私たちが提案する治療は、あなたの理想へ向けた貴重な第一歩です。 理想的な状態に変わるまでの治療の流れを体感してください。
![]() |
|
|
電話・ホームページから予約 LINEで相談してみて、実際に面談で相談したいと思った場合は、来院カウンセリング(痛み・腫れのある方は当日応急処置)の予約を行ってください。 |
![]() |
![]() |
|
|
無料カウンセリングへ 事前に予約した日時に来院ください。 |
![]() |
![]() |
|
|
問診・CTスキャンの撮影 歯・口元に関する悩み、理想とする状態などをヒアリングした上で、歯の状況や神経の場所などを詳細に診断します。 |
![]() |
![]() |
|
|
口元の改善プランの提案 あなたの理想的な状況になるまでの治療プランをご提案します。 |
![]() |
![]() |
|
|
スケジュール・料金・分割の確認 スケジュール(来院の回数・治療完了時期の目安)、料金及び支払方法について、ご説明します。 |
![]() |
![]() |
|
|
契約・支払方法の決定 治療をご希望の方は契約書にサインをして頂きます。少し考えたい方は、後日ご連絡をください。※痛み・腫れのある方は、当日に応急処置します。 |
![]() |
![]() |
||
|
初回検査・初回集中治療 当日又は後日、初回検査を行います。CT、セファロ検査、レントゲン等の検査を行い、詳細な治療計画を決定します。 カウンセリングを受けた後、すぐに決める必要はありません。ちょっとでも迷うようであれば、お家に帰ってよく検討してみてください。家族や友人に相談するのも良いと思います。 |
![]() ![]() |
|
1回目の治療
![]() |
|
初回集中治療できれいな口元に
初回に2時間の集中治療を行います。治療が必要な歯を全部同時に治療し、歯を調整して、最後に白くて見た目がキレイな仮歯(プラスチック製)を装着し、初回来院時に、きれいな口元になります。
|
初回治療から、2週間〜1ヶ月

2回目の治療
![]() |
|
歯の根の消毒・お掃除 初回に神経を抜いている場合には、2回目の来院時に、歯の根の消毒とお掃除を行います |
![]() |
|
歯の調整・仮歯の調整・歯型取り 仮歯の調整後、歯型を取ります。仮歯と歯型に基づいてセラミック等の被せ物を作成に入ります。 ※希望に応じて、最短で、初回治療時に歯型まで取ることもできます。 ![]() |
歯型どりから、2週間〜1ヶ月

3回目の治療
![]() |
|
|
セラミックを被せて治療完了 仮歯を外し、セラミックの歯を被せて、自分の歯のような自然なきれいな状態になります。 |
|

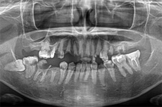
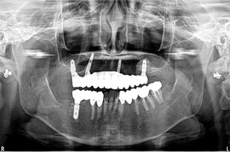
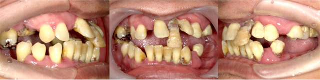
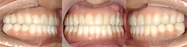
当院で治療された方の症例集をご覧ください!
オールオン4の治療例:1
治療前


治療後


オールオン4の治療例:2
治療前


治療後


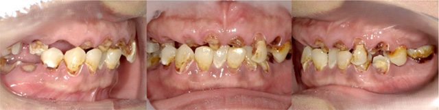
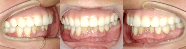
その他 ボロボロ虫歯の症例


妊娠、出産後に歯がぼろぼろになってしまった、そんな経験ありませんか?
出産を経験したママさんが「歯が弱くなった」「虫歯が増えた」と感じる方が多くいらっしゃいます。
これは妊娠から出産にかけての体の変化が大きく関係しています。
体の変化にくわえ、育児による生活習慣の変化も影響している場合もあるんです。

- ホルモンバランスの変化
- ・エストロゲン、プロゲステロンの増加:これらは歯ぐきが腫れたり出血しやすくなります。
・唾液の質の変化:唾液の分泌量や質が変わることで、お口の中が酸性に傾き虫歯が増えやすくなります。 - つわりによる影響
- ・おう吐:胃酸が逆流することで歯の表面のエナメル質が溶けやすくなります。
・食生活の変化:特定の食べ物しか受け付けなくなることで偏った食生活になり糖分を多く摂りがちになります。
・歯磨きの困難:歯磨きで吐き気が誘発されるため、十分に歯磨きができないことがあります。 - 産後の食生活の変化
- ・不規則な食事:授乳や夜泣きなどで、決まった時間に食事がとれず、間食が増えることがあります。
・睡眠不足とストレス:免疫力の低下により、お口のトラブルが発生しやすくなります。
・デンタルケアの不足:自分の歯磨きや定期健診がおろそかになってしまいがちです。
出産後は育児に追われて自分のことが後回しになりがちですよね。
これらの要因が重なって、出産後に歯のトラブルが増えてしまいます。
ママさんには自分にかける時間がないですよね?
そんなママさんも安心して通える環境が当院にはあります!!

- プロの保育士が常駐
- 女性ドクターによるママさんに寄り添った治療
- 保育ルームを完備
当院の特徴である、無痛最短治療はもちろんの事、ママさんが安心して通える環境が整っています!
カウンセリング予約時に「女性ドクター希望」「保育士に子供を預けたい」等のご要望をお伝えください。
歯を治療したあなたは…キレイな歯になることは通過点。目指すのは、その先にある毎日が笑顔あふれる人生を楽しんでいただくことです!
料金について
さて、いよいよ気になる料金を説明していきます。
ここまでお読みいただいているということは、
「歯をきれいにしたい」という気持ちをお持ちだと思います。
繰り返しますが、
時間がなく忙しい方や歯医者嫌いの方向けに、短期集中して複数の歯を同時に治療し、"痛みを最小限に抑える"ことに徹底的にこだわりぬいた、歯に優しい虫歯治療です。
歯の痛み、歯茎の腫れの治療だけでなく、歯の色、形、大きさなどをすべて同時に治す治療となります。
あなたがどのような状況にあったとしても、
「変わるんだ」「本当の笑顔になるんだ」という意志さえ持ってきていただければ、
望む未来まで必ず導いてみせます。
長年にわたって悩み、治療に踏み出せずにいるのであれば、その価値は、計り知れないと思っています。
今回、あなたが口元を理想的な状態にすることは、
本来の自分自身の可能性を信じるということです。
本来の自分自身の可能性にかけるということです。
どんなに良い服を着ても、
どんなに高価なブランド物を身につけても、
どんなに髪や外見を頑張ったとしても、
笑った瞬間、すべてが水の泡。
洋服や食事にお金をかけるのもいいですが、
自分自身にこそ、投資しませんか。
自分自身の未来にこそ、お金を使いませんか。
断言しますー
今すぐカンタンに人生を変える方法。
それは「歯をキレイにする」ことです。
口元がきれいになり、あなたが今を楽しんでキラキラ輝くことによって、
あなたとあなたの家族、そしてあなたの周り、社会全体が、
少しでも笑顔があふれるようになることが私のゴールです。
自分自身を変えるだけでなく、周りの人にも良い影響を与え、笑顔にみちあふれた世界の創造に貢献できる仲間を生み出したいと思っています。
そう考えると、
自分自身への投資だけではなく、あなたの周りや社会全体への投資でもあるのです。
あなたが今、どのような状況であっても関係ありません。未来は選べます。自分の選択次第です。
「よし、変わるぞ」という気持ちだけ持ってきてください。私と一緒に、新しい自分に生まれ変わりましょう!
これだけの金額を自己投資するだけで、たった1ヶ月で新しい自分に生まれ変わり、今後の人生を歩んでいけるのであれば、これほど費用対効果の良い投資は本当にないと思います。
さらに!
「笑顔になって人生を変えたい!」という想いを
応援するべく、ローンで120回分割という
分割プランもご用意しています。
最大120回という分割を活用すれば、
月々、なんとなく行っている飲み会代や、携帯代、衝動買いをした洋服代相当で、
あなたは、笑顔に自信を持った理想の自分を手に入れることができるのです。
何に、お金を使うか、本当にあなたの気持ちひとつです。
今の生活を大幅に変えることなく、ご自身のペースで矯正することが可能です。
そして、そして、
一人でも多くの方にご利用いただき、本当の笑顔を取り戻していただきたいため、満足保証をご用意しました
一人で悩んでいたら時間がもったいない!
まずは、無料院長相談を利用ください
私がボロボロ虫歯の歯医者になった理由―
患者様から次のことをよく聞かれます。
「なぜ、こういった治療を手掛けることにしたのですか?」
これには、私が、歯科医師になった理由が関係します。
私は、小さい頃、親が仕事で忙しく、おばあちゃんに育てられました。
少し照れますが、おばあちゃんは、シンデレラの絵本をよく読んでくれて、私はいつも目をキラキラ輝かしていました。
実は、子供の頃の私は、今からは想像もできないくらい太っていて、それがコンプレックスで自分のことが大嫌いだったのです。
よく、朝目覚めた時には、魔法でスマートな自分になっていてくれ、と祈りながら寝ていたくらいです。
もちろん、毎朝憂うつな寝起きでした。
太っていると思われるのが嫌だから暗い性格で、卑屈にもなっていました。
そんな私のことを、あるがままに受け入れてくれとても可愛がってくれたのは、おばあちゃんだけでした。
おばあちゃんの期待に応えたくて、高校時代にダイエットに取り組み、標準的な体型となり、今、妻と子供たちとともに幸せな毎日を送っています。
おかげで、今でもシンデレラストーリーが大好きです^^
実は、おばあちゃんにもコンプレックスがありました。
60歳になる前に歯並びがガタガタ、歯がボロボロの状態になってしまい、よく悩んでいました。
また、前歯をいつも気にしていたようで、無意識的になのか、笑う時は必ず口元を手で隠していました。
笑顔が下品で恥ずかしいから、人前で口を開けて笑うのが嫌だとよく嘆いていたものです。
私は、そんなおばあちゃんを喜ばせてあげたい、入れ歯になる前の日常生活に戻してあげたいという強い思いから、 自然と歯医者の道を目指していました。
もし、おばあちゃんが今も生きていたのなら、今の私なら技術を駆使して、とても短い期間で歯が丈夫だった頃と同じような日常生活を送れていたことでしょう。
そして、他の患者さんと同様に、元の状態に戻った歯を噛みしめて、「ひろちゃん、本当にありがとう」と、きっと感動してくれたことでしょう。
残念ながら、大好きだったおばあちゃんを喜ばせることはできませんでしたが、患者さんの笑顔をおばあちゃんに重ねながら、毎日治療をしています。
さて―
歯をキレイにすること。
それはあなたの人生に関わる可能性へのアプローチです。
歯をキレイにすることで変わるのは、笑顔だけではありません。
笑顔が増えることで、今までよりも自分を信じることができたり、自信ができたり、何かに挑戦しようと思えるようになります。
そして、最大にして最高のメリットは「毎日が楽しくなること」です。
それは何よりもの生きる喜びになります。
つまり、一番変わるのは自分を信頼できる「心」です。
そして−
心が変わることで行動が変わり、行動が変わることで習慣が変わり、習慣が変わることで人生が変わります。
だから、私は、本当に、
「歯がキレイになればそれをきっかけに人生を変えられる」と思っています。
だからもうこれ以上、後回しにするのはやめませんか?
今一度、ご自身と向き合って、心向きを変えるチャンスを手にしてください。
ここまで読まれたあなたは、 きっと歯をキレイにしたいと本気で思っていることでしょう。

治療がそれを現実とする
スタートラインとなれば幸いです!!
最後までお読み頂きありがとうございました^^
それではあなたの笑顔が取り戻せる日をスタッフ一同 楽しみにしています。
院長 石井宏昌
一人で悩んでいたら時間がもったいない!
まずは、無料院長相談を利用ください
医院のご案内
| 時間 | 月 | 火 | 水 | 木 | 金 | 土 | 日 | 祝 |
|---|---|---|---|---|---|---|---|---|
| 10:00〜19:00 | ● | ● | ● | ● | ● | ● | ● | − |
年中無休(年末年始、夏季、臨時休診あり)
| 医院名 | 大宮アルティマ歯科 |
|---|---|
| 院長 | 石井 宏昌 |
| 診療時間 | 10:00〜19:00 |
| 休診日 | 年中無休(年末年始、夏季、臨時休診あり) |
| 電話番号 | 048-788-2440 |
| 所在地 | 〒330-0845 埼玉県さいたま市大宮区仲町1丁目7番地2 大宮仲町ホクシンビル4F |
医院責任者・院長 石井宏昌
|
所属学会等 歯並び・歯の形・色などの悩みから今すぐ開放されたいと悩んでいる方のための歯医者。 ライフミッションは、「齒をキレイにして、人生を応援する」ことであり、それぞれの人が輝ける人生を楽しめるために活動している。そして、その先にある、社会全体に笑顔がみちあふれるようにすることを通して、「日本人の幸福度指数(世界ランク53位)を底上げする」ことを理念に掲げている。 |
大宮院・院長 加賀 賞子

| 1990年 | 鶴見大学歯学部 卒業 |
|---|---|
| 1990年 | 医療法人社団高輪会 サンフラワー歯科 入職 |
| 1998年 | はしば矯正歯科 入職 |
| 1999年 | ヒロ・ヤマダデンタルオフィス 入職 |
| 2001年 | フローラ歯科医院 開業 |
| 2008年 | フローラ歯科医院 閉業 |
| 2009年 | 医療法人社団高輪会 八王子歯科 入職 |
| 2010年 | 医療法人社団優綾会 カメアリデンタル 入職 |
| 2017年 | 医療法人社団みさわ会 みさわ歯科 入職 |
| 2017年 | ザ・ホワイトデンタルクリニック 入職 |
| 2024年 | 医療法人社団大生会 みこころ総合歯科 入職 |
<所属学会・団体等>
日本インプラント学会 認定医
歯科医師 宍戸 浩紀

| 2020年 | 鶴見大学 歯学部 卒業 |
|---|---|
| 2021年 | 鶴見大学 歯学部 附属病院 総合歯科2 入局 |
| 2022年 | 鶴見大学 歯学部 附属病院 インプラント科 入局 |
<得意な診療>
外科処置、ボロボロ虫歯、セラミック矯正
歯科医師 貝田 瑛州

| 2012年 | 神奈川歯科大学 歯学部 卒業 |
|---|---|
| 2013年 | 神奈川歯科大学附属病院にて臨床研修開始 |
| 2014年 | 神奈川歯科大学附属病院にて臨床研修修了 |
| 2014年 | 医療法人社団世航会 デンタルオフィス東京ベイ 入職 |
| 2016年 | 医療法人社団世航会 デンタルオフィス東京ベイ 退職 |
| 2016年 | ただなわデンタルクリニック下北沢 入職 |
| 2024年 | ただなわデンタルクリニック下北沢 退職 |
<得意な診療>
セラミック矯正、インプラント、外科処置
歯科医師 久原 史彬

| 2016年 | 福岡歯科大学 卒業 |
|---|---|
| 2016年 | 福岡歯科大学 保存科 研修医 |
| 2017年 | 福岡歯科大学 保存科 医局員 |
| 2018年 | 福岡歯科大学 保存科 退職 |
| 2018年 | 筑紫野スマイル歯科小児歯科医院 入職 |
| 2020年 | 筑紫野スマイル歯科小児歯科医院 退職 |
<得意な診療>
根管治療、ボロボロ虫歯
歯科医師 畠 康志

| 2016年 | 岩手歯科大学 歯学部 卒業 |
|---|---|
| 2017年 | 鶴見大学歯学部附属病院 総合歯科2(卒後臨床研修)入職 |
| 2018年 | 鶴見大学歯学部附属病院 総合歯科2(卒後臨床研修)退職 |
| 2018年 | 鶴見大学歯学部 口腔顎顔面外科学講座 入局 |
| 2018年 | 鶴見大学歯学部附属病院 口腔外科 入職 |
| 2019年 | 鶴見大学歯学部附属病院 口腔外科 退職 |
| 2019年 | 医療法人同愛会 小澤病院 入職 |
| 2021年 | 医療法人同愛会 小澤病院 退職 |
| 2021年 | 鶴見大学歯学部附属病院 口腔外科 入職 |
| 2021年 | デンタルクリニックPURE 入職 |
<所属学会・団体等>
日本口腔外科学会 認定医
歯科医師 瀬 結衣

| 2021年 | 東京医科歯科大学 歯学部 歯学科 卒業 |
|---|---|
| 2021年 | 東京医科歯科大学歯学部付属病院 歯科臨床研修センター 入職 |
| 2022年 | 東京医科歯科大学歯学部付属病院 歯科臨床研修センター 退職 |
| 2022年 | 越谷エース歯科 入職 |
| 2023年 | 越谷エース歯科 退職 |
| 2024年 | 草加いすず歯科 入職 |
料金表
(1本あたりの価格、税別)
―被せ物―
| 種類 | ダイヤモンド セラミック ![]() |
オール セラミック ![]() |
ハイブリッド セラミック ![]() |
|---|---|---|---|
| 素材 |
内側:人工ダイヤ |
内側:セラミック |
内側:プラスチック×セラミック |
| 見た目 |
天然歯と同様の色と自然感 |
天然の歯の色に近い |
内側がプラスチック混在のため、 |
| 丈夫さ |
|
|
|
| 特徴 | 自然な見た目と強い強度を持つ。材質が軽いため、歯への負担が少ない |
自然な見た目だが、透明度が高く、中の土台やご自身の歯の色が透けてしまう可能性が高い |
プラスチックを混ぜ合わせているため、割れやすく、変色しやすい |
| 価格 | 16万円 | 12万円 | 8万円 |
―その他―
| 仮歯代 | 5千円 |
|---|---|
| 土台・芯 | 1万5千円 |
| 土台・芯除去 | 8千円 |
| 笑気麻酔 | 1万円 |
| 静脈内鎮静法 | 7万円 |












はじめまして、ボロボロの虫歯治療を得意としている、歯科医師の石井です。























オエッと嘔吐反射する方や怖すぎて歯医者に行けないという方には、眠っている間に治療を行うことが可能です(静脈内鎮静法)。ぜひ、遠慮なくお申し出くださいね。


























2006年 神奈川歯科大学卒業










